1. Phân biệt viêm nướu và viêm nha chu
Viêm nướu và viêm nha chu đều là các bệnh lý phổ biến thuộc nhóm bệnh nha chu, nhưng mức độ nguy hiểm và ảnh hưởng đến sức khỏe răng miệng hoàn toàn khác nhau. Việc phân biệt rõ hai tình trạng này sẽ giúp bạn chủ động điều trị kịp thời, tránh biến chứng nghiêm trọng như mất răng.
1.1. Viêm nướu là gì?
Viêm nướu (Gingivitis) là giai đoạn sớm và nhẹ nhất của bệnh nha chu, xảy ra khi mảng bám vi khuẩn tích tụ tại viền nướu mà không được làm sạch đúng cách.
Nguyên nhân chính
- Mảng bám và cao răng tích tụ lâu ngày
- Vệ sinh răng miệng kém (đánh răng sai cách, không dùng chỉ nha khoa)
- Thay đổi nội tiết (thai kỳ, dậy thì)
- Hút thuốc lá hoặc chế độ ăn thiếu dinh dưỡng
Triệu chứng nhận biết
- Nướu sưng đỏ, mềm và dễ chảy máu khi chải răng
- Hơi thở có mùi hôi nhẹ
- Cảm giác ê buốt nhẹ hoặc khó chịu ở nướu
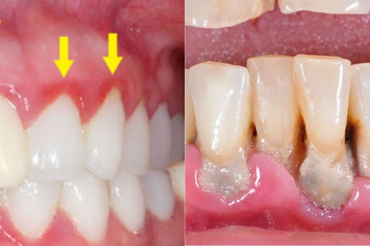
Đặc điểm quan trọng: Viêm nướu chưa gây tổn thương xương ổ răng và hoàn toàn có thể hồi phục nếu được điều trị và chăm sóc đúng cách.
1.2. Viêm nha chu là gì?
Viêm nha chu (Periodontitis) là giai đoạn tiến triển nặng hơn của viêm nướu, khi vi khuẩn đã xâm nhập sâu vào mô nâng đỡ răng, bao gồm dây chằng nha chu và xương ổ răng.
Nguyên nhân
- Viêm nướu kéo dài không điều trị
- Vi khuẩn tích tụ sâu dưới nướu
- Yếu tố nguy cơ: hút thuốc, tiểu đường, suy giảm miễn dịch
Triệu chứng điển hình
- Nướu tụt, lộ chân răng rõ rệt
- Răng lung lay, thay đổi vị trí
- Hơi thở hôi nặng, kéo dài, có thể xuất hiện mủ
- Cảm giác đau khi ăn nhai
Đặc điểm nguy hiểm: Viêm nha chu gây tiêu xương ổ răng không thể hồi phục hoàn toàn, là nguyên nhân hàng đầu dẫn đến mất răng ở người trưởng thành.
2. Nguyên nhân gây viêm nướu và viêm nha chu do đâu?
Viêm nướu và viêm nha chu đều bắt nguồn từ sự tấn công của vi khuẩn trong khoang miệng, tuy nhiên mức độ và cơ chế tiến triển có sự khác biệt rõ rệt. Việc nắm rõ nguyên nhân sẽ giúp bạn chủ động bảo vệ sức khỏe răng miệng và hạn chế biến chứng nguy hiểm.
2.1. Nguyên nhân gây viêm nướu
Viêm nướu là giai đoạn khởi phát của bệnh nha chu, thường xuất phát từ những thói quen sinh hoạt hàng ngày.
2.1.1. Mảng bám và vi khuẩn
Mảng bám là lớp màng sinh học chứa vi khuẩn bám trên bề mặt răng. Nếu không được loại bỏ thường xuyên, mảng bám sẽ:
- Tích tụ dày lên theo thời gian
- Khoáng hóa thành cao răng
- Gây kích ứng và viêm mô nướu
Đây là nguyên nhân hàng đầu dẫn đến viêm nướu.
2.1.2. Vệ sinh răng miệng kém
Thói quen chăm sóc răng miệng không đúng cách làm gia tăng nguy cơ viêm nướu:
- Đánh răng không đủ 2 lần/ngày hoặc sai kỹ thuật
- Không sử dụng chỉ nha khoa hoặc nước súc miệng
- Không lấy cao răng định kỳ
Hệ quả là vi khuẩn tích tụ lâu ngày, gây viêm và chảy máu nướu.
2.1.3. Thay đổi nội tiết tố
Sự biến động hormone trong các giai đoạn như:
- Dậy thì
- Mang thai
- Chu kỳ kinh nguyệt
- Có thể làm nướu trở nên nhạy cảm hơn với vi khuẩn, từ đó dễ bị viêm dù mảng bám không quá nhiều.
Một số yếu tố hỗ trợ khác
- Thiếu vitamin C làm suy yếu mô nướu
- Tác dụng phụ của một số loại thuốc (gây khô miệng)
- Stress kéo dài ảnh hưởng đến hệ miễn dịch
2.2. Nguyên nhân gây viêm nha chu
Viêm nha chu là giai đoạn tiến triển nặng, thường là hậu quả của viêm nướu kéo dài không được kiểm soát.
2.2.1. Viêm nướu không được điều trị
Khi viêm nướu bị bỏ qua:
Vi khuẩn xâm nhập sâu xuống dưới nướu
Hình thành túi nha chu chứa vi khuẩn
Phá hủy mô liên kết và xương ổ răng
Đây là nguyên nhân trực tiếp và phổ biến nhất gây viêm nha chu.
2.2.2. Yếu tố di truyền
Một số người có cơ địa nhạy cảm với vi khuẩn gây bệnh nha chu:
Phản ứng viêm mạnh hơn bình thường
Dễ bị phá hủy mô nha chu dù mảng bám không quá nhiều
Yếu tố này khiến việc phòng ngừa cần được chú trọng hơn.
2.2.3. Thói quen sinh hoạt không lành mạnh
Các thói quen xấu làm tăng nguy cơ và đẩy nhanh tiến triển bệnh:
Hút thuốc lá: làm giảm lưu lượng máu đến nướu, cản trở lành thương
Uống rượu bia thường xuyên
Chế độ ăn nhiều đường, thiếu dinh dưỡng
2.2.4. Bệnh lý toàn thân
Một số bệnh lý có thể làm nặng tình trạng viêm nha chu:
Tiểu đường (làm giảm khả năng chống nhiễm trùng)
Suy giảm miễn dịch
Các bệnh mạn tính khác
3. Cách điều trị viêm nướu và viêm nha chu như thế nào?
3.1. Điều trị viêm nướu
Việc điều trị viêm nướu khá đơn giản nếu được phát hiện sớm. Các biện pháp điều trị bao gồm:
3.1.1. Cạo vôi răng
Đây là bước quan trọng hàng đầu trong điều trị:
- Loại bỏ mảng bám và cao răng trên và dưới nướu
- Giảm môi trường phát triển của vi khuẩn
- Giúp nướu phục hồi và giảm viêm nhanh chóng
Thông thường, chỉ sau 1–2 buổi, tình trạng viêm nướu sẽ cải thiện rõ rệt.
3.1.2. Vệ sinh răng miệng đúng cách
Duy trì thói quen chăm sóc răng miệng khoa học:
- Đánh răng ít nhất 2 lần/ngày bằng bàn chải lông mềm
- Sử dụng chỉ nha khoa để làm sạch kẽ răng
- Kết hợp máy tăm nước nếu cần
Đây là yếu tố quyết định giúp ngăn ngừa tái phát.
3.1.3. Sử dụng nước súc miệng kháng khuẩn
Hỗ trợ tiêu diệt vi khuẩn gây hại
Giảm viêm và mùi hôi miệng
Nên dùng theo hướng dẫn của nha sĩ để tránh lạm dụng
3.2. Điều trị viêm nha chu
Viêm nha chu có thể tiến triển thành một bệnh lý phức tạp, cần phải can thiệp sâu hơn. Phương pháp điều trị bao gồm:
3.2.1. Làm sạch sâu (Scaling)
Phương pháp điều trị nền tảng:
- Loại bỏ mảng bám và vi khuẩn dưới nướu
- Làm nhẵn bề mặt chân răng để hạn chế vi khuẩn bám lại
- Giúp nướu bám lại chắc hơn vào răng
Quá trình này có thể cần gây tê và thực hiện nhiều lần tùy mức độ bệnh.
3.2.2. Nạo túi nha chu
Áp dụng khi đã hình thành túi nha chu sâu:
- Loại bỏ vi khuẩn, mô viêm và mủ trong túi nha chu
- Giảm độ sâu túi, hạn chế tiến triển bệnh
- Tạo điều kiện cho mô nướu phục hồi
3.2.3. Phẫu thuật nha chu
Được chỉ định khi tổn thương nặng:
- Phẫu thuật lật vạt để làm sạch sâu
- Ghép xương hoặc mô mềm để tái tạo cấu trúc nâng đỡ răng
- Ổn định răng lung lay
Đây là phương pháp giúp kéo dài tuổi thọ răng trong các trường hợp nghiêm trọng.
4. Phòng ngừa viêm nướu và viêm nha chu
Để ngăn ngừa viêm nướu và viêm nha chu, việc vệ sinh răng miệng đúng cách là rất quan trọng. Dưới đây là một số biện pháp phòng ngừa hiệu quả:
4.1. Vệ sinh răng miệng đúng cách
Chăm sóc răng miệng hàng ngày là yếu tố cốt lõi trong việc phòng ngừa bệnh nha chu.
Đánh răng ít nhất 2 lần mỗi ngày
- Sử dụng bàn chải lông mềm để tránh làm tổn thương nướu
- Chọn kem đánh răng chứa Fluoride giúp bảo vệ men răng và ngăn ngừa vi khuẩn
- Đánh răng đúng kỹ thuật, làm sạch cả mặt ngoài, mặt trong và mặt nhai
Sử dụng chỉ nha khoa
- Làm sạch mảng bám ở kẽ răng – nơi bàn chải không thể tiếp cận
- Giúp giảm nguy cơ viêm nướu và hôi miệng
- Nên sử dụng ít nhất 1 lần/ngày, tốt nhất vào buổi tối
Kết hợp nước súc miệng
- Hỗ trợ giảm vi khuẩn trong khoang miệng
- Giúp hơi thở thơm mát và giảm viêm nướu
- Ưu tiên sản phẩm theo tư vấn của nha sĩ
4.2. Khám răng định kỳ
Thăm khám nha khoa định kỳ là bước quan trọng giúp kiểm soát sức khỏe răng miệng.
Lợi ích của việc khám răng định kỳ
- Phát hiện sớm viêm nướu, viêm nha chu hoặc các bệnh lý khác
- Lấy cao răng, loại bỏ mảng bám tích tụ lâu ngày
- Được tư vấn cách chăm sóc răng miệng phù hợp
Tần suất khuyến nghị
- Ít nhất 6 tháng/lần
- Với người có nguy cơ cao (hút thuốc, tiểu đường), nên khám thường xuyên hơn theo chỉ định
4.3. Chế độ ăn uống lành mạnh
Dinh dưỡng đóng vai trò quan trọng trong việc duy trì sức khỏe nướu và răng.
Hạn chế thực phẩm có hại
- Đồ ăn nhiều đường: bánh kẹo, nước ngọt có gas
- Thực phẩm có tính axit cao: nước chanh, giấm, đồ uống có cồn
Những thực phẩm này dễ tạo điều kiện cho vi khuẩn phát triển và gây mảng bám.
Tăng cường thực phẩm có lợi
- Thực phẩm giàu vitamin C: cam, kiwi, ổi giúp nướu chắc khỏe
- Thực phẩm giàu canxi: sữa, phô mai giúp укреп men răng
- Rau xanh và trái cây tươi giúp làm sạch răng tự nhiên
5. Khi nào cần gặp bác sĩ nha khoa?
Bạn nên chủ động đi khám nha khoa khi xuất hiện các dấu hiệu dưới đây để tránh bệnh tiến triển nặng:
- Nướu sưng, đỏ, chảy máu: Nếu tình trạng kéo dài trên 5–7 ngày, đặc biệt chảy máu khi đánh răng hoặc ăn uống, đây có thể là dấu hiệu viêm nướu cần điều trị sớm.
- Hôi miệng dai dẳng: Hơi thở có mùi khó chịu dù đã vệ sinh kỹ có thể liên quan đến vi khuẩn tích tụ dưới nướu hoặc viêm nha chu.
- Nướu tụt, lộ chân răng: Khi thấy răng dài hơn bình thường hoặc ê buốt khi ăn đồ nóng/lạnh, bạn nên kiểm tra ngay vì đây là dấu hiệu tổn thương mô nâng đỡ răng.
- Răng lung lay, đau khi nhai: Đây là cảnh báo viêm nha chu đã ảnh hưởng đến xương ổ răng, cần can thiệp kịp thời để tránh mất răng.
- Có mủ, sưng đau vùng nướu: Dấu hiệu nhiễm trùng nghiêm trọng, cần điều trị sớm để tránh biến chứng lan rộng.
Khuyến nghị: Ngay cả khi không có triệu chứng, bạn vẫn nên khám nha khoa định kỳ 3–6 tháng/lần để lấy cao răng và kiểm tra tổng quát. Phát hiện càng sớm, việc điều trị càng đơn giản và hiệu quả.
6. Kết luận
Viêm nướu và viêm nha chu đều là các bệnh lý phổ biến, nhưng nếu không được điều trị đúng cách và kịp thời, chúng có thể dẫn đến các biến chứng nghiêm trọng như mất răng, tiêu xương và ảnh hưởng đến sức khỏe tổng thể. Việc nhận diện sớm các dấu hiệu của viêm nướu và viêm nha chu, cũng như áp dụng các phương pháp điều trị và phòng ngừa đúng đắn, sẽ giúp bạn duy trì một sức khỏe răng miệng tốt và ngăn ngừa những hậu quả nghiêm trọng về sau. Hãy chăm sóc sức khỏe răng miệng của bạn một cách nghiêm túc để có được nụ cười khỏe mạnh và tự tin!


