1. Viêm nướu và bệnh nha chu là gì?
Để bắt đầu, chúng ta cần phân biệt rõ hai khái niệm thường bị nhầm lẫn này. Mặc dù có liên quan mật thiết, chúng đại diện cho hai giai đoạn khác nhau của cùng một quá trình bệnh lý.
Viêm nướu (Gingivitis) là tình trạng viêm nhiễm ở phần nướu (lợi), mô mềm bao quanh chân răng. Đây được xem là giai đoạn đầu và nhẹ hơn của bệnh lý về nướu. Nguyên nhân chính thường là do sự tích tụ của mảng bám – một lớp màng dính chứa đầy vi khuẩn hình thành liên tục trên răng. Khi mảng bám không được làm sạch thường xuyên và đúng cách, vi khuẩn trong đó sẽ giải phóng độc tố gây kích ứng, làm nướu bị sưng, đỏ và dễ chảy máu, đặc biệt là khi chải răng hoặc dùng chỉ nha khoa.
Một điểm quan trọng cần lưu ý là ở giai đoạn viêm nướu, tổn thương chưa ảnh hưởng đến xương ổ răng và các cấu trúc nâng đỡ răng. Do đó, nếu được phát hiện sớm và can thiệp kịp thời, tình trạng viêm nướu thường có thể được khắc phục hoàn toàn mà không để lại di chứng lâu dài.
Bệnh nha chu (Periodontitis) là giai đoạn tiến triển, nghiêm trọng hơn của viêm nướu khi tình trạng viêm nhiễm đã lan sâu xuống dưới đường viền nướu. Lúc này, vi khuẩn không chỉ tấn công nướu mà còn phá hủy các cấu trúc nâng đỡ răng, bao gồm dây chằng nha chu và xương ổ răng.
Khi hệ thống phòng thủ tự nhiên của cơ thể phản ứng lại với độc tố của vi khuẩn, nó sẽ vô tình tạo ra một phản ứng viêm mãn tính. Phản ứng này dần dần phá vỡ các mô liên kết và xương giữ răng tại chỗ. Nướu bắt đầu tụt ra khỏi răng, tạo thành các "túi nha chu" – những khoảng trống sâu giữa nướu và răng. Những túi này trở thành nơi trú ẩn lý tưởng cho vi khuẩn tiếp tục sinh sôi, khiến tình trạng nhiễm trùng ngày càng nặng hơn. Nếu không được điều trị, bệnh nha chu có thể dẫn đến tiêu xương, răng lung lay và cuối cùng là mất răng.
2. Sự khác biệt giữa viêm nướu và bệnh nha chu
Tóm lại, sự khác biệt lớn nhất nằm ở mức độ tổn thương. Viêm nướu là một lời cảnh báo, trong khi bệnh nha chu là một tình trạng khẩn cấp cần được can thiệp chuyên sâu để cứu vãn những chiếc răng còn lại.
3. Biểu hiện và triệu chứng của viêm nướu và bệnh nha chu
Nhận biết sớm các triệu chứng là chìa khóa để điều trị thành công. Dưới đây là các dấu hiệu bạn cần chú ý.
3.1. Triệu chứng của viêm nướu
Các triệu chứng của viêm nướu thường khá nhẹ và đôi khi bị bỏ qua. Tuy nhiên, nếu để ý, bạn có thể nhận thấy:
Nướu sưng và đỏ: Thay vì có màu hồng nhạt và săn chắc, nướu chuyển sang màu đỏ tươi hoặc đỏ sẫm, trông có vẻ sưng phồng và mềm.
Chảy máu nướu: Đây là dấu hiệu phổ biến nhất. Bạn có thể thấy máu trên bàn chải sau khi đánh răng, trên chỉ nha khoa, hoặc thậm chí khi ăn những thực phẩm cứng như táo, ổi.
Hơi thở có mùi khó chịu: Vi khuẩn tích tụ trong mảng bám có thể tạo ra các hợp chất lưu huỳnh dễ bay hơi, gây ra tình trạng hôi miệng kéo dài dù bạn đã vệ sinh răng miệng.
Nướu nhạy cảm hoặc đau nhẹ: Bạn có thể cảm thấy hơi ê buốt hoặc đau khi chạm vào vùng nướu bị viêm. Tuy nhiên, ở giai đoạn này, cảm giác đau thường không rõ rệt.
3.2. Triệu chứng của bệnh nha chu
Khi viêm nướu tiến triển thành bệnh nha chu, các triệu chứng sẽ trở nên rõ ràng và nghiêm trọng hơn nhiều:
Tụt nướu: Bạn sẽ thấy nướu dần co lại, lộ ra phần chân răng. Điều này làm cho răng trông dài hơn bình thường và có thể gây ê buốt do chân răng bị lộ không có lớp men bảo vệ.
Răng lung lay: Đây là một dấu hiệu đáng báo động, cho thấy xương và các mô nâng đỡ răng đã bị phá hủy đáng kể. Răng có thể di chuyển khi bạn dùng lưỡi đẩy hoặc chạm vào.
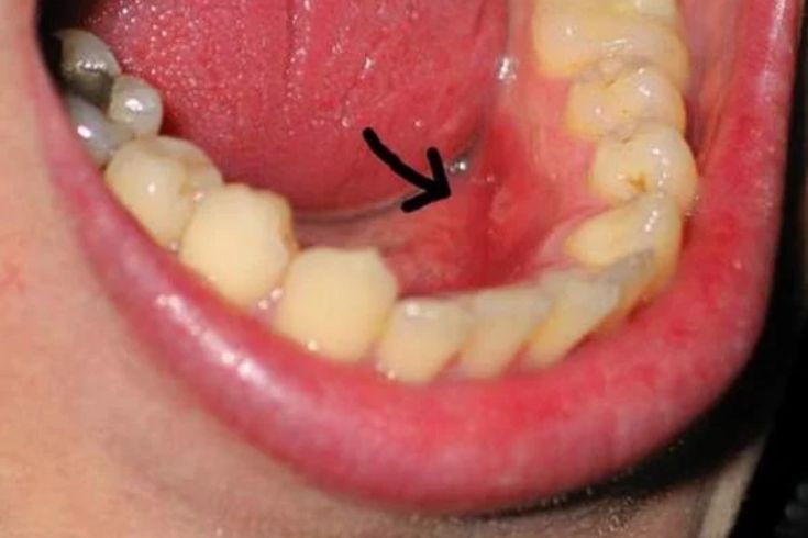
Xuất hiện mủ giữa răng và nướu: Khi ấn vào vùng nướu bị viêm, bạn có thể thấy một ít dịch mủ màu trắng hoặc vàng chảy ra. Đây là dấu hiệu của tình trạng nhiễm trùng đang hoạt động.
Thay đổi khớp cắn: Bạn cảm thấy khớp cắn của mình có vẻ khác đi, các răng không ăn khớp với nhau như trước. Điều này xảy ra do răng bị di chuyển khỏi vị trí ban đầu.
Đau khi nhai: Áp lực khi nhai có thể gây đau ở những răng đã bị ảnh hưởng bởi bệnh nha chu.
Hơi thở hôi nghiêm trọng và dai dẳng: Mùi hôi miệng ở giai đoạn này thường nặng hơn nhiều so với viêm nướu do sự phân hủy mô và nhiễm trùng sâu.
Tạo khoảng trống mới giữa các răng: Khi xương bị tiêu và răng di chuyển, các kẽ hở mới có thể xuất hiện giữa các răng của bạn.
4. Nguyên nhân gây ra viêm nướu và bệnh nha chu
Nguyên nhân sâu xa của cả hai bệnh lý này đều bắt nguồn từ vi khuẩn trong mảng bám, nhưng có nhiều yếu tố góp phần làm tình trạng trở nên tồi tệ hơn.
4.1. Nguyên nhân gây viêm nướu
Vệ sinh răng miệng kém: Đây là nguyên nhân hàng đầu. Khi bạn không chải răng và dùng chỉ nha khoa đều đặn, mảng bám sẽ có cơ hội tích tụ dọc theo đường viền nướu. Chỉ sau 24-48 giờ, mảng bám có thể bắt đầu gây viêm.
Thói quen ăn uống không lành mạnh: Chế độ ăn nhiều đường và tinh bột sẽ tạo điều kiện thuận lợi cho vi khuẩn trong miệng phát triển mạnh mẽ, làm tăng tốc độ hình thành mảng bám.
Thay đổi nội tiết tố: Sự thay đổi hormone trong các giai đoạn như dậy thì, mang thai, mãn kinh hoặc trong chu kỳ kinh nguyệt có thể làm cho nướu trở nên nhạy cảm hơn và dễ bị viêm hơn.
Một số loại thuốc: Các loại thuốc điều trị động kinh, thuốc chẹn kênh canxi (dùng trong bệnh tim mạch) hoặc thuốc ức chế miễn dịch có thể gây tác dụng phụ làm nướu phát triển quá mức, khiến việc vệ sinh trở nên khó khăn.
4.2. Nguyên nhân gây bệnh nha chu
Bệnh nha chu là kết quả của viêm nướu không được điều trị, kết hợp với các yếu tố nguy cơ khác làm suy yếu hệ miễn dịch và đẩy nhanh quá trình phá hủy mô:
Cao răng (vôi răng) lâu ngày: Khi mảng bám không được loại bỏ, nó sẽ hấp thụ khoáng chất từ nước bọt và cứng lại thành cao răng. Bề mặt thô ráp của cao răng là nơi lý tưởng để mảng bám tiếp tục tích tụ và gây viêm nhiễm nặng hơn. Cao răng chỉ có thể được loại bỏ bằng các dụng cụ nha khoa chuyên nghiệp.
Hút thuốc lá: Hút thuốc là một trong những yếu tố nguy cơ lớn nhất. Nó làm suy yếu hệ miễn dịch của cơ thể, khiến việc chống lại nhiễm trùng ở nướu trở nên khó khăn hơn. Đồng thời, hút thuốc cũng làm giảm lưu lượng máu đến nướu, cản trở quá trình lành thương.
Yếu tố di truyền: Một số người có khuynh hướng di truyền dễ mắc bệnh nha chu hơn. Nếu trong gia đình bạn có người bị bệnh này, bạn cũng có nguy cơ cao hơn.
Các bệnh lý toàn thân: Các bệnh như tiểu đường không kiểm soát, viêm khớp dạng thấp, bệnh Crohn và các bệnh suy giảm miễn dịch (như HIV/AIDS) làm giảm khả năng chống nhiễm trùng của cơ thể, làm cho bệnh nha chu dễ phát triển và tiến triển nhanh hơn.
Căng thẳng (stress): Căng thẳng kéo dài có thể làm suy yếu hệ thống miễn dịch, khiến cơ thể khó chống lại vi khuẩn gây bệnh nha chu.
Nghiến răng: Thói quen nghiến răng tạo ra một lực quá mức lên răng và các mô nâng đỡ, có thể đẩy nhanh tốc độ phá hủy xương ở những người đã bị viêm nướu.
5. Cách điều trị viêm nướu và bệnh nha chu
Phương pháp điều trị phụ thuộc hoàn toàn vào giai đoạn và mức độ nghiêm trọng của bệnh. Mục tiêu chung là kiểm soát nhiễm trùng, ngăn chặn sự tiến triển của bệnh và phục hồi sức khỏe cho các mô nha chu.
5.1. Điều trị viêm nướu
Vì viêm nướu là giai đoạn đầu và chưa gây tổn thương vĩnh viễn, việc điều trị thường đơn giản và hiệu quả cao:
Cạo vôi răng và làm sạch chuyên nghiệp: Đây là bước điều trị nền tảng. Nha sĩ sẽ sử dụng các dụng cụ chuyên dụng (sóng siêu âm, dụng cụ cầm tay) để loại bỏ hoàn toàn mảng bám và cao răng tích tụ trên bề mặt răng và dưới đường viền nướu.
Hướng dẫn vệ sinh răng miệng đúng cách: Nha sĩ hoặc chuyên viên vệ sinh sẽ chỉ cho bạn kỹ thuật chải răng hiệu quả (ví dụ: phương pháp Bass), cách sử dụng chỉ nha khoa, bàn chải kẽ hoặc máy tăm nước để làm sạch triệt để các kẽ răng.
Cải thiện thói quen hàng ngày: Bạn sẽ được khuyến khích duy trì việc chải răng ít nhất hai lần mỗi ngày, dùng chỉ nha khoa hàng ngày và có thể sử dụng thêm nước súc miệng kháng khuẩn theo chỉ định của nha sĩ.
Tái khám định kỳ: Sau khi điều trị, việc tái khám đều đặn (thường là 6 tháng/lần) để cạo vôi răng và kiểm tra sẽ giúp ngăn ngừa viêm nướu tái phát.
5.2. Điều trị bệnh nha chu
Điều trị bệnh nha chu phức tạp hơn nhiều và đòi hỏi một quá trình lâu dài, đôi khi là suốt đời để kiểm soát bệnh.
5.2.1. Điều trị không phẫu thuật (Giai đoạn đầu)
Cạo vôi răng và xử lý mặt gốc răng (Scaling and Root Planing): Đây là một thủ thuật làm sạch sâu, được xem là "tiêu chuẩn vàng" trong điều trị nha chu. Nha sĩ sẽ cạo sạch cao răng và mảng bám không chỉ trên bề mặt răng mà còn sâu bên trong túi nha chu. Sau đó, bề mặt gốc răng sẽ được làm nhẵn để ngăn vi khuẩn tái bám dính và giúp nướu bám dính trở lại vào răng. Thủ thuật này có thể cần gây tê tại chỗ và thực hiện trong nhiều buổi hẹn.
Sử dụng thuốc kháng sinh: Trong một số trường hợp nhiễm trùng nặng, nha sĩ có thể kê đơn kháng sinh đường uống hoặc đặt thuốc kháng sinh giải phóng chậm trực tiếp vào túi nha chu để tiêu diệt vi khuẩn.
5.2.2. Điều trị phẫu thuật (Giai đoạn tiến triển)
Khi điều trị không phẫu thuật không đủ để giải quyết các túi nha chu sâu, phẫu thuật sẽ được chỉ định.
Phẫu thuật lật vạt làm sạch túi nha chu: Nha sĩ sẽ rạch và lật vạt nướu để bộc lộ chân răng và xương ổ răng. Điều này cho phép làm sạch cao răng và mô viêm một cách triệt để ở những vùng sâu nhất. Sau khi làm sạch, vạt nướu sẽ được khâu lại để ôm sát vào răng.
Ghép xương: Nếu xương ổ răng đã bị phá hủy nhiều, nha sĩ có thể thực hiện ghép xương để tái tạo lại phần xương đã mất. Vật liệu ghép có thể là xương tự thân, xương đồng loại, xương dị loại hoặc vật liệu tổng hợp.
Ghép mô mềm: Dùng để che phủ các phần chân răng bị lộ do tụt nướu. Mô ghép thường được lấy từ vòm miệng của chính bệnh nhân và đắp vào vùng nướu bị tụt.
Tái tạo mô có hướng dẫn (Guided Tissue Regeneration - GTR): Kỹ thuật này sử dụng một màng ngăn đặc biệt đặt giữa xương và nướu. Màng ngăn này ngăn chặn mô nướu phát triển vào khu vực xương bị mất, tạo không gian cho xương và dây chằng nha chu có thời gian tái tạo lại.
6. Biến chứng của viêm nướu và bệnh nha chu
Việc trì hoãn điều trị có thể dẫn đến những hậu quả nghiêm trọng không chỉ cho sức khỏe răng miệng mà còn cho toàn bộ cơ thể.
6.1. Biến chứng tại chỗ của viêm nướu và bệnh nha chu
Tiến triển thành bệnh nha chu: Đây là biến chứng trực tiếp và phổ biến nhất của viêm nướu không được điều trị.
Mất răng vĩnh viễn: Khi xương nâng đỡ răng bị phá hủy đến một mức độ nhất định, răng sẽ không còn chỗ dựa, lung lay và cuối cùng là rụng đi hoặc phải nhổ bỏ. Đây là hậu quả cuối cùng và nặng nề nhất của bệnh nha chu.
Áp-xe nha chu: Là một túi mủ hình thành trong túi nha chu do nhiễm trùng cấp tính, gây sưng, đau dữ dội và có thể cần can thiệp khẩn cấp.
Tiêu xương hàm: Bệnh nha chu phá hủy xương ổ răng, làm thay đổi cấu trúc xương hàm, ảnh hưởng đến thẩm mỹ khuôn mặt và gây khó khăn cho việc phục hình răng mất sau này (ví dụ như cấy ghép Implant).
6.2. Biến chứng toàn thân liên quan đến bệnh nha chu
Vi khuẩn và tình trạng viêm nhiễm mãn tính trong miệng có thể đi vào đường máu và gây ảnh hưởng đến các cơ quan khác trong cơ thể:
Bệnh tim mạch: Nhiều nghiên cứu đã chỉ ra mối liên hệ giữa bệnh nha chu và nguy cơ gia tăng các bệnh như xơ vữa động mạch, nhồi máu cơ tim và đột quỵ. Tình trạng viêm mãn tính do nha chu có thể góp phần gây viêm ở các mạch máu.
Bệnh tiểu đường: Mối quan hệ giữa bệnh nha chu và tiểu đường là hai chiều. Bệnh tiểu đường không kiểm soát làm tăng nguy cơ và mức độ nghiêm trọng của bệnh nha chu. Ngược lại, nhiễm trùng nha chu có thể làm tăng đường huyết và gây khó khăn trong việc kiểm soát bệnh tiểu đường.
Biến chứng thai kỳ: Phụ nữ mang thai bị bệnh nha chu có nguy cơ cao hơn bị sinh non và sinh con nhẹ cân.
Bệnh hô hấp: Vi khuẩn từ khoang miệng có thể bị hít vào phổi và gây ra các bệnh như viêm phổi, đặc biệt ở người lớn tuổi hoặc người có hệ miễn dịch yếu.
7. Phương pháp phòng ngừa viêm nướu và bệnh nha chu
Phòng bệnh luôn tốt hơn chữa bệnh. May mắn là hầu hết các trường hợp viêm nướu và bệnh nha chu đều có thể được phòng ngừa bằng các biện pháp đơn giản và duy trì đều đặn.
Vệ sinh răng miệng đúng cách và đều đặn:
- Chải răng: Chải răng ít nhất hai lần mỗi ngày (sau bữa sáng và trước khi đi ngủ) bằng bàn chải lông mềm và kem đánh răng chứa fluor. Chú ý chải kỹ tất cả các mặt của răng và đặc biệt là vùng viền nướu.
- Làm sạch kẽ răng: Sử dụng chỉ nha khoa hoặc máy tăm nước ít nhất một lần mỗi ngày để loại bỏ mảng bám và thức ăn thừa ở những nơi bàn chải không thể tiếp cận.
Xây dựng chế độ ăn uống lành mạnh:
- Hạn chế thực phẩm và đồ uống chứa nhiều đường, tinh bột.
- Tăng cường ăn các loại thực phẩm giàu chất xơ như rau xanh, trái cây, ngũ cốc nguyên hạt.
- Bổ sung đủ vitamin C (có trong cam, chanh, dâu tây) và canxi (có trong sữa, phô mai) để giúp nướu và xương chắc khỏe.
Khám răng và cạo vôi răng định kỳ:
- Thăm khám nha sĩ ít nhất 6 tháng một lần để kiểm tra tổng quát và làm sạch chuyên nghiệp. Việc cạo vôi răng định kỳ là cách duy nhất để loại bỏ cao răng, tác nhân chính gây bệnh nha chu.
Kiểm soát các yếu tố nguy cơ:
- Ngưng hút thuốc: Bỏ thuốc lá là một trong những điều tốt nhất bạn có thể làm cho sức khỏe nướu của mình.
- Quản lý căng thẳng: Tìm các phương pháp thư giãn như thiền, yoga, tập thể dục để giảm stress.
- Kiểm soát tốt các bệnh lý toàn thân: Nếu bạn bị tiểu đường, hãy tuân thủ nghiêm ngặt phác đồ điều trị của bác sĩ để kiểm soát tốt đường huyết.
8. Kết luận
Viêm nướu và bệnh nha chu tuy có nhiều điểm tương đồng nhưng cũng có sự khác biệt rõ rệt về mức độ nghiêm trọng và phương pháp điều trị. Việc phát hiện sớm và điều trị kịp thời viêm nướu sẽ giúp ngăn ngừa sự phát triển thành bệnh nha chu, từ đó bảo vệ sức khỏe răng miệng hiệu quả. Hãy duy trì vệ sinh răng miệng đúng cách, kiểm tra định kỳ và tìm kiếm sự tư vấn từ các nha khoa uy tín để phòng ngừa các bệnh lý này. Chăm sóc sức khỏe răng miệng không chỉ giúp bạn có một nụ cười đẹp mà còn bảo vệ sức khỏe tổng thể của bạn.



